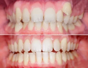
Deciding whether to straighten bottom teeth is an important consideration for both adults and children with crooked or crowded lower teeth. Misalignment of the lower teeth can affect bite function, oral hygiene, and overall dental health, as well as the appearance of your smile.
Understanding the available treatment options, how they work, and what factors may influence your results can help you make informed decisions. This knowledge allows you to make a personalised plan to achieve straight teeth effectively.
Understanding Crooked Bottom Teeth
Crooked teeth, especially in the lower row, are common in both children and adults. Misaligned teeth can result from various factors. These dental issues may affect the appearance of your smile, your oral health, and the alignment of your upper and lower teeth.
Misalignment of the bottom teeth can sometimes lead to bite problems, affecting how your top and bottom teeth meet when you close your mouth.
Properly aligned teeth help you maintain oral hygiene and lower the risk of tooth decay, bad breath, gum disease, and other possible dental complications.
Addressing Common Causes of Bottom Teeth Crowding
Crowding in the lower teeth can develop due to a range of factors, including:
- Early or late loss of baby teeth
- Genetics affecting jaw size
- Thumb sucking or pacifier use during childhood
- Missing teeth
- Growth discrepancies in the jaw
Understanding the underlying cause helps your dentist determine a suitable treatment approach for your individual case.
Why It’s Important to Straighten Lower Teeth
Straight teeth contribute to overall oral health by making it easier to clean teeth effectively. Crooked or crowded lower teeth can create tight spaces that are difficult to reach with a floss or toothbrush, increasing the likelihood of plaque build-up and gum disease.
Additionally, misalignment can affect chewing efficiency and even place unnecessary stress on your jaw.
Beyond oral health, achieving straight teeth can improve the functionality of your bite. Aligning both upper and lower teeth helps evenly distribute bite forces, supporting long-term dental health and comfort.
Treatment Options for Straightening Bottom Teeth
Several approaches exist to straighten bottom teeth, depending on the severity of the misalignment and individual preferences.
Discussing your options with a dentist is necessary for creating a personalised treatment plan.
Traditional Metal Braces
Traditional metal braces are a well-established method for gradually straightening teeth. These braces involve brackets attached to each tooth, connected by a wire that gets periodically adjusted by the dentist to move teeth into the desired position.
Metal braces are suitable for correcting misalignment of both upper and lower teeth, bite problems, and crowding. While noticeable, these braces remain highly effective for complex cases and can achieve precise tooth alignment.
Clear Aligners

Clear aligner treatment is particularly appealing for adults and older teens who prefer a discreet option. It can address crooked teeth, crowding, and mild bite problems in the bottom row.
Steps to Straighten Crooked Lower Teeth
Achieving straight teeth involves several key steps:
- Initial Consultation: Your dentist assesses your oral health, bite, and alignment of upper and lower teeth.
- Treatment Planning: A custom-made plan is created that details the treatment options, estimated duration, and any supportive interventions required.
- Braces or Aligners Placement: Depending on your preference, traditional braces or removable aligners are fitted to gradually straighten your teeth.
- Regular Adjustments and Monitoring: Braces are adjusted, or new aligners are provided to ensure teeth continue to move into the desired position.
- Retention Phase: After teeth straightening, wear retainers as advised to maintain results and prevent relapse.
Following these steps and adhering to your dentist’s recommendations will help you achieve straighter teeth.
Maintaining Good Oral Hygiene During Treatment
Good oral hygiene is necessary during any teeth straightening process. Crowded teeth are difficult to clean, so it’s important to brush and floss carefully to reduce the risk of gum disease, plaque build-up, and bad breath. Regular check-ups and professional cleanings are recommended throughout your treatment.
For patients using aligners, maintaining oral hygiene is easier because they can be removed before brushing and flossing. For traditional metal braces, extra attention is required to clean around brackets and wires.
Managing Treatment Duration
The duration of teeth straightening treatment varies based on the severity of misalignment, the type of treatment, and the individual’s age.
Traditional metal braces may take longer for complex cases, while clear aligners can be quicker for mild to moderate crowding. Your dentist will provide a realistic timeline and monitor progress throughout the treatment.
Frequently Asked Questions
Do traditional braces hurt?
Some mild discomfort or soreness is common after adjustments, but it is usually manageable.
Can dental veneers replace orthodontic treatment?
Dental veneers improve the appearance of crooked teeth but do not correct underlying misalignment or bite problems. Orthodontic treatment is necessary to truly straighten teeth and align the upper and lower teeth.
Can braces or aligners affect my speech?
Initially, some patients can notice slight changes in speech, but they typically adapt quickly. Clear aligners are customised, so they have minimal impact on speech.
Are the results permanent?
Results can be long-lasting if retainers are worn as advised. Skipping retention may allow teeth to shift over time.
Can orthodontic treatment correct teeth crowding caused by missing teeth?
Yes. Your dentist may combine orthodontic treatment with restorative options to address missing teeth and align your lower teeth.
Are DIY braces recommended?
DIY braces are not recommended. Professional supervision is essential to avoid dental issues such as misalignment, gum damage, and bite problems.
Conclusion
Straightening bottom teeth is a journey that combines personalised care, professional expertise, and commitment to oral health.

By addressing crooked teeth and bite issues, you support your oral health and enhance your smile.
Taking the first step towards straighter teeth begins with a consultation. Your dentist can help you explore treatment options, create a tailored plan, and guide you on the path to achieving a beautiful, functional smile.
If you’re ready to straighten your bottom teeth and improve both the function and appearance of your smile, our experienced dental team can guide you through the right treatment options for your individual case.
From traditional metal braces to clear removable aligners, we’ll create personalised treatment plans that suit your needs and lifestyle.
Book a consultation today with Pearl Dental Care at 02 9158 6312 to discuss your goals, explore treatment options, and start your journey towards a healthier, straighter smile.
References
Healthdirect Australia. (2025, February). Dental Braces and Retainers. Healthdirect. Retrieved December 4, 2025, from https://www.healthdirect.gov.au/dental-braces-and-retainers
Roland, J. (2020, November 11). Why Teeth Shift After Dental Procedures and Over Time. Healthline. Retrieved December 4, 2025, from https://www.healthline.com/health/teeth-shifting
Santhakumar, S. (2022, February 7). What to Know About Metal Braces. Medical News Today. Retrieved December 4, 2025, from https://www.medicalnewstoday.com/articles/metal-braces-uses-costs-benefits-and-more-2
WebMD Editorial Contributors. (2024, October 14). Dental Health With Crooked Teeth and Misaligned Bites. WebMD. Retrieved December 4, 2025, from https://www.webmd.com/oral-health/crooked-teeth-misaligned-bites

